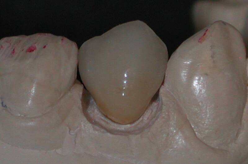
Riabilitazione in Disilicato di Litio Emax:

  • Riabilitazione completa della funzione masticatoria, eseguita con uso di arco facciale e articolatore Denar: 24 corone singole in disilicato di litio Emax per la massimazione del risultato estetico.

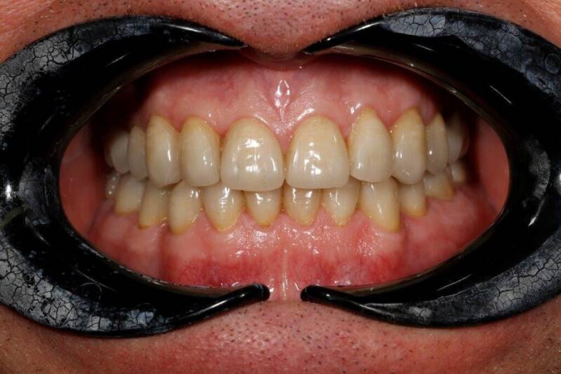
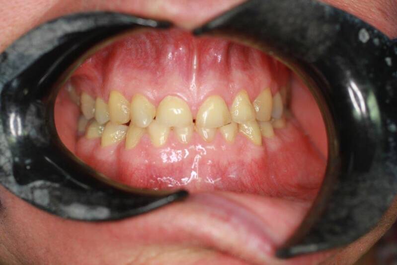
Situazione iniziale:

Lavoro Ultimato:


Arcata superiore in metallo-ceramica su primarie telescopiche

  • Arcata superiore in metallo-ceramica su corone primarie telescopiche.   Progettazione eseguita con software 3SHAPE.   Struttura metallica  eseguita in laser-melting. Ceramica DIVA Nobil Metal stratificata con tecnica Multi Layer a 10 masse con uso di internal Stain Noritake.

Situazione iniziale:

Lavoro Ultimato:


Faccette estetiche (Veneer) in zirconia Katana Noritake

Situazione iniziale:

Lavoro Ultimato:

  • Rimodellazione estetica del gruppo frontale superiore, su paziente giovane. Mock Up eseguito con software 3SHAPE e sovrapposto a foto originali per dimostrazione/accettazione da parte del paziente.

Corone a giacca in Ceramica su incisivi centrali

Situazione iniziale:

Lavoro Ultimato:

  • Sostituzione di corone preesistenti (in metallo-ceramica) con corone interamente in ceramica, su modello in refrattario: tecnica utilizzata anche per faccette estetiche (Veneer).

Corona in AGC full gold

  • Elemento AuroGalvaCrown in oro, realizzato con tecnica di elettrodeposizione WIELAND, con microbordo in oro e sovraceramizzato con IVOCLAR Ips Classic.


Protesi Combinata - Metallo Ceramica - Scheletrato

  • Arcata inferiore: Corone in metallo-ceramica DIVA Nobil Metal.  Progettazione attacchi Bredent MiniSV e protesi scheletrata eseguita con software 3SHAPE, e realizzazione in laser-synth. Elementi posteriori inmetallo-ceramica.


Ponte in zirconia ad elevata traslucenza

  • Ponte di 3 elementi (14-15-16) + 2 corone singole in Zirconia NORITAKE Katana, sovraceramizzato con masse ad alta traslucenza per riprodurre fedelmente gli elementi naturali.


Ponte con slot interlock in Metallo Ceramica

  • Ponte di 3 elementi in metallo-ceramica realizzato in due parti unite tramite attacco INTERLOCK come "rompiforze". Ceramica IVOCLAR IPS.    Cracks realizzati tramite tecnica di stratificazione denominata "segmentazione laterale" di UBASSY.

Gruppo frontale con tessitura superficiale marcata, in Zirconia

  • Elementi singoli in Zirconia NORITAKE Katana. Tessitura superficiale originale rilevata con apposita impronta in fase di pre-limatura. e riprodotta dettagliatamente.


Materiali e tecniche a confronto

  • Struttra portante dell'arcata superiore e del gruppo frontale inferiore in Zirconia Amann, sovrastratificata con ceramica GLAM  NobilMetal.
  • Struttura portante dei ponti posteriori inferiori realizzata in Laser-sinth sovrastratificata con ceramica DIVA NobilMetal.


Individualizzazione di protesi dentaria

  • Paziente soddisfatto dell'aspetto funzionale della vecchia protesi, ma non di quello estetico: cit. "sembrano denti di plastica"
  • Riproduzione dell'antecedente aspetto funzionale ottenuto con protesi provvisorie in acrilico, con la realizzazione di 24 corone singole in metallo-ceramica VITA VM13, inserite su basi in resina acrilica. 


Parallelizzazione abutments e riabilitazione provvisoria in PMMA

  • Il paziente presentava 4 precedenti impianti, 3 dei quali riconoscibili e sostituibili.  L'impianto in corrispndenza dell'elemento 32, invece, essendo uscito di produzione, e' stato parallelizzato con i preesistenti, tramite realizzazione  di una cappetta primaria parallelizzata. 
  • Arcata provvisoria progettata con software 3Shape e realizzata in PMMA Bredent pluristratificato e fresato in CAM. Caratterizzazione tramite colorazione superficiale Bredent.


Riabilitazione Completa: arcata superiore in metallo-ceramica, inferiore in PMMA

  • Riabilitazione completata in fasi successive:
  • A: Progettazione del lavoro tramite software 3SHAPE e realizzazione degli abutments individuali, sui quali sono state costruite due arcate provvisorie in PMMA Bredent pluristratificato e fresato in CAM.
  • B: Dopo sei mesi, e' stata realizzata l'arcata superiore definitiva in metallo-ceramica DIVA , (tenendo conto delle "informazioni" acquisite con i provvisori) ed una nuova arcata provvisoria inferiore in PMMA Bredent pluristratificato e fresato in CAM. Caratterizzazio tramite colorazione superficiale Bredent.      Questa fase e' quella presentata nelle foto sottostanti.
  • C: Arcata inferiore definitiva in metallo-ceramica realizzata tenendo conto delle faccette di usura rilevate con il secondo provvisorio.