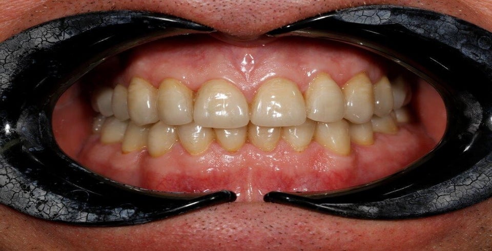
Full arch restoration made in Lithium Disilicate Emax:

  • Full arch restoration made by use of facial face bow and Denar articulator. 24 Emax single crowns.

Situazione iniziale:

Lavoro Ultimato:


Upper arch made with metal ceramic elements built on telescopic crowns

  • Projected with 3SHAPE software.   Metal frame created using laser melting technology.   NobilMetal DIVA  porcelain layered with  multi stratification tecnique, using 10 different masses and internal stains NORITAKE.

Situazione iniziale:

Lavoro Ultimato:


Upper frontal esthetic restoration made with Veneer in Katana Noritake zirconiq

Before:

After:

  • Upper frontal esthetic restoration of young patient. Digital Mock Up realized using  3SHAPE software and layed over the mouth's pictures of the patient to get approval by the patient.

Jacket crowns on upper central incisals

Before:

After:

  • Replacement of existing crowm  with two full porcelain ceramic crowns, made using a refractory models.

AGC full gold copy crown

  • Crown made by a multy layer stratification of IVOCLAR IPS Classic ceramic porcelainin on a 0.2 mm copy realized using the electro plated WIELAND AGC System.


Combined prosthesis with extracoronal precision attachments

  • Metal bonded DIVA NobilMetal Crowns linked by a bar with extracoronal MINI Sv BREDENT precision attachments and chrome made using 3SHAPE software and realized by laser synth tecnique.


High traslucency zirconia bridge and crowns

  • 3 units bridge (UR 4-5-6) + 2 single (UR 2-3) NORITAKE Katana Zirconia framework cutted back and overlayed with high traslucency GLAM NobilMetal masses to faithfully reproduce the natural teeth.


Slot bonded crown bridge 

  • 3 units bridge realized in two parts joyned via an INTERLOCK precision attachments.   IVOCLAR IPS porcelain; Cracks created using UBASSY's layering technique.

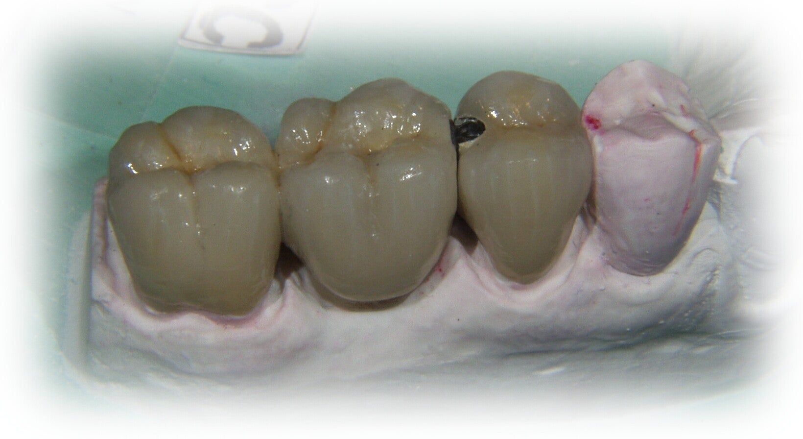
Detailed surface texture on zirconia crowns

  • 6 single crowns in NORITAKE Katana zirconia. Original surface texture reproduced in detail.


Materials and techniques compared

  • Upper arch frame and lower frontal group made using Amann Zirconia, overlayered with GLAM  NobilMetal ceramic.
  • Lower posteriors metal frame bridges made using the Laser-synth technology overlayered with DIVA NobilMetal ceramic.


Characterization of dental prosthesis

  • Patient happy with the functional aspect of the previous prosthesis, but not with the aesthetic aspect.
  • Reproduction of the previous functional aspect obtained with temporary acrylic prostheses, with the creation of 24 single VITA VM13 metal-bonded crowns, inserted on acrylic resin bases.


Parallelization of the old and new abutments.  Temporary rehabilitation in PMMA

  • The patient had 4 previous implants, 3 of which were recognizable and replaceable. The implant corresponding to element 32, however, having been discontinued, was integrated with the pre-existing ones, through the creation of a parallelized telescopic cap.
  • Temporary arch projected with the 3Shape software and made of multi-layered Bredent PMMA material and milled in CAM. Characterization made of Bredent surface stains.


Full rehabilitation: upper arch in metal-bonded tecnique and lower arch in PMMA

  • Rehabilitation completed in successive stages:
  • A: Design of the work using 3SHAPE software and creation of individual abutments, on which two temporary arches were built in multi-layered Bredent PMMA and milled in CAM.
  • B: After six months, the definitive upper arch was created in DIVA metal-bonded laser synth tecnique and a brand new temporary lower arch in multi-layered Bredent PMMA milled in CAM. Characterization by Bredent surface stain. This stage is the one presented in the pictures.
  • C: Definitive lower arch in metal-bonded tecnique made taking into account the wear surfaces detected with the last temporary arch.